getRegion
(To be removed) Read arbitrary region of bigimage
object
The getRegion function of the bigimage object will
be removed in a future release. Use the getRegion
function associated with the blockedImage object
instead. For more information, see Version History.
Description
reads the big image data in data = getRegion(bigimg,level,regionStartWorld,regionEndWorld)bigimg at the specified resolution level.
The function returns all pixels whose extents touch or lie within the bounds of the
rectangular region specified by regionStartWorld and
regionEndWorld, inclusive.
Examples
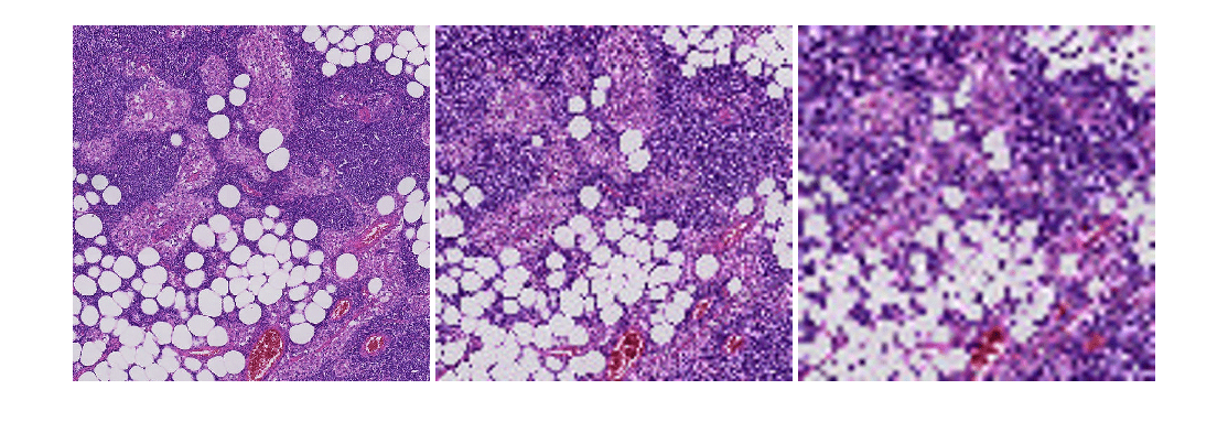
Create a bigimage using a modified version of image "tumor_091.tif" from the CAMELYON16 data set. The original image is a training image of a lymph node containing tumor tissue. The original image has eight resolution levels, and the finest level has resolution 53760-by-61440. The modified image has only three coarse resolution levels. The spatial referencing of the modified image has been adjusted to enforce a consistent aspect ratio and to register features at each level.
bim = bigimage('tumor_091R.tif');Display the entire bigimage at the finest resolution level.
bshow = bigimageshow(bim);

Define a rectangular region by specifying the starting and ending coordinates in the horizontal and vertical direction relative to the finest resolution level.
xyStart = [2100,1800]; xyEnd = [2600,2300];
Get the region of the bigimage at each resolution level.
imL1 = getRegion(bim,1,xyStart,xyEnd); imL2 = getRegion(bim,2,xyStart,xyEnd); imL3 = getRegion(bim,3,xyStart,xyEnd);
Display the three regions in a montage. The finest resolution level is on the left and the coarsest resolution level is on the right.
montage({imL1,imL2,imL3},'Size',[1 3], ...
'BorderSize',5,'BackgroundColor','w');
Input Arguments
Big image, specified as a bigimage object.
Resolution level, specified as a positive integer that is less than or equal to the
number of resolution levels of bigimg.
Top-left coordinates of the rectangular region to read, specified as a 1-by-2
numeric vector of the form [x y]. The location is specified in world
coordinates, which are the pixel locations relative to the highest resolution
level.
Bottom-right coordinates of the rectangular region to read, specified as a 1-by-2
numeric vector of the form [x y]. The location is specified in world
coordinates, which are the pixel locations relative to the highest resolution
level.
Output Arguments
Pixel data, returned as a numeric array of the same data type as the big image,
.bigimg.ClassUnderlying
Version History
Introduced in R2019bThe getRegion function issues a warning that it will be removed
in a future release.
The bigimage object and this function will be removed in a future
release. Use the getRegion
function of the blockedImage
object instead.
To update your code, first create a blockedImage object to read your
image data. Then, follow these steps:
Convert from (x, y) world coordinates to (row, column) world coordinates by switching the order of the two elements.
Convert the world coordinates to pixel subscripts using the
world2subfunction. If you want to get the region at a resolution level other than level 1, then specify that level by using theLevelname-value argument.Pass the blocked image and the pixel subscripts to the
getRegionfunction. If you want to get the region at a resolution level other than level 1, then specify that level by using theLevelname-value argument.
| Discouraged Usage | Recommended Replacement |
|---|---|
This example uses the
filename = "tumor_091R.tif";
bim = bigimage(filename);
xyStart = [2100 1800];
xyEnd = [2600 2300];
region = getRegion(bim,1,xyStart,xyEnd); | Here is equivalent code using a filename = "tumor_091R.tif";
blockedIm = blockedImage(filename);
xyStart = [2100 1800];
xyEnd = [2600 2300];
rcStart = flip(xyStart);
rcEnd = flip(xyEnd);
pixelStart = world2sub(blockedIm,rcStart);
pixelEnd = world2sub(blockedIm,rcEnd);
region = getRegion(blockedIm,pixelStart,pixelEnd); |
This example repeats the operation at resolution level 2. lvl = 2; region = getRegion(bim,lvl,xyStart,xyEnd); | This example repeats the final operations at resolution level 2 by
specifying the lvl = 2; pixelStart = world2sub(blockedIm,rcStart,Level=lvl); pixelEnd = world2sub(blockedIm,rcEnd,Level=lvl); region = getRegion(blockedIm,subBlock,Level=lvl); |
The getRegion function of the bigimage object is
not recommended. Use the getRegion
function of the blockedImage
object instead. The
blockedImage object offers several advantages including extension to N-D
processing, a simpler interface, and custom support for reading and writing nonstandard image
formats.
See Also
MATLAB Command
You clicked a link that corresponds to this MATLAB command:
Run the command by entering it in the MATLAB Command Window. Web browsers do not support MATLAB commands.
Seleccione un país/idioma
Seleccione un país/idioma para obtener contenido traducido, si está disponible, y ver eventos y ofertas de productos y servicios locales. Según su ubicación geográfica, recomendamos que seleccione: .
También puede seleccionar uno de estos países/idiomas:
Cómo obtener el mejor rendimiento
Seleccione China (en idioma chino o inglés) para obtener el mejor rendimiento. Los sitios web de otros países no están optimizados para ser accedidos desde su ubicación geográfica.
América
- América Latina (Español)
- Canada (English)
- United States (English)
Europa
- Belgium (English)
- Denmark (English)
- Deutschland (Deutsch)
- España (Español)
- Finland (English)
- France (Français)
- Ireland (English)
- Italia (Italiano)
- Luxembourg (English)
- Netherlands (English)
- Norway (English)
- Österreich (Deutsch)
- Portugal (English)
- Sweden (English)
- Switzerland
- United Kingdom (English)