Medical Imaging Toolbox
Visualice, registre, segmente y etiquete imágenes médicas en 2D y 3D
¿Tiene preguntas? Comuníquese con ventas.
¿Tiene preguntas? Comuníquese con ventas.
Medical Imaging Toolbox ofrece apps, funciones y flujos de trabajo para diseñar y probar aplicaciones de diagnóstico por imagen. Puede realizar renderización y visualización en 3D, registro multimodal, y segmentación y etiquetado de imágenes de radiología. Asimismo, la toolbox permite entrenar redes de Deep Learning predefinidas, con Deep Learning Toolbox.
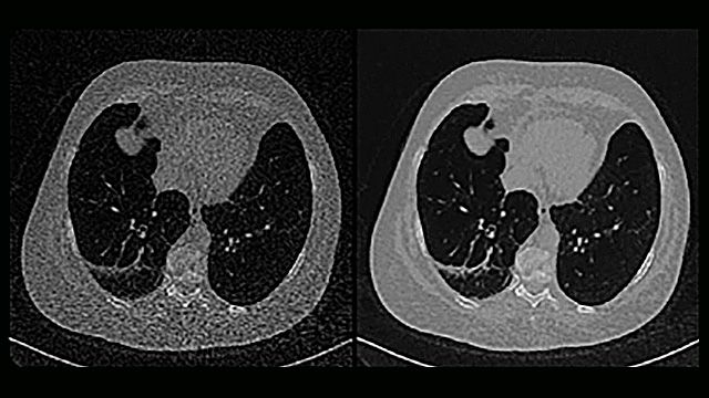
Puede importar, preprocesar y analizar imágenes de radiología de varias técnicas de captura de imágenes, tales como proyección de rayos X, tomografía computarizada (TC), resonancia magnética (IRM), ultrasonido (US) y medicina nuclear (PET, SPECT). La app Medical Image Labeler permite automatizar parcialmente el etiquetado en 2D y 3D para utilizarlo en flujos de trabajo de IA. Puede efectuar registro multimodal de imágenes médicas en 2D, superficies en 3D y volúmenes en 3D. La toolbox ofrece un entorno integrado para realizar diagnóstico computarizado de extremo a extremo y análisis de imágenes médicas.
La captura de imágenes médicas es un campo de la medicina que incluye diversas técnicas para capturar, visualizar y analizar imágenes del interior de los seres humanos y animales. Esto permite al personal médico visualizar órganos, huesos, células y diversos procesos fisiológicos, así como diagnosticar, supervisar y tratar afecciones. Las imágenes se generan empleando diversas técnicas radiológicas, tales como rayos X, ultrasonido, TC, IRM y captura de imágenes nucleares, y recurriendo a microscopios para patología.
Lea y modifique metadatos y datos de imágenes médicas procedentes de formatos de archivos médicos especializados, como DICOM, NIfTI y NRRD, almacenados localmente, en la nube o en servidores PACS.
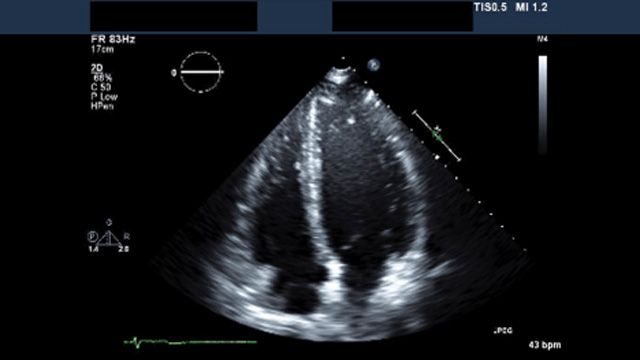
Utilice herramientas interactivas para visualizar datos de imágenes médicas en 2D y 3D. Genere superficies y volúmenes en 3D.
Utilice la app Medical Image Labeler para automatizar o semiautomatizar el proceso de etiquetado, realizar etiquetado ground-truth de forma interactiva, utilizar algoritmos personalizados o técnicas de Deep Learning, como MedSAM y MONAI Label, y exportar datos etiquetados para flujos de trabajo de IA.
Mejore la calidad de las imágenes con técnicas de preprocesamiento. Mejore la eficacia de las redes de Deep Learning aumentando los datos para ampliar el conjunto de datos de entrenamiento.
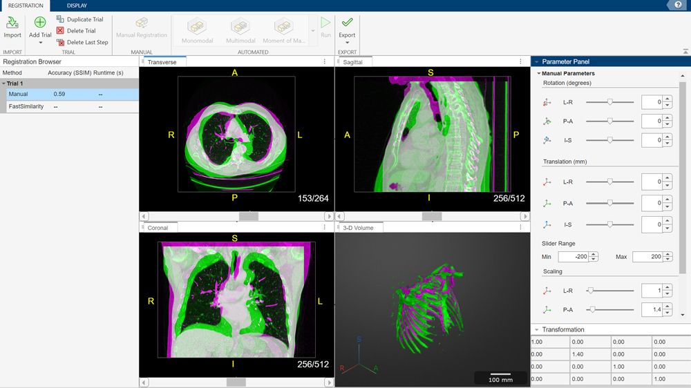
Compare y alinee imágenes médicas multimodales, volúmenes o superficies en un sistema de coordenadas común con la app Medical Registration Estimator y funciones dedicadas.
Segmente imágenes en 2D o volúmenes en 3D en regiones, tales como huesos, tumores u órganos, mediante técnicas tradicionales o de Deep Learning, y evalúe la precisión de las regiones.
Analice datos de imágenes médicas empleando técnicas de radiómica y descriptores de características de alto nivel.
Segmente células de imágenes de microscopía con el paquete de soporte Medical Imaging Toolbox Interface for Cellpose Library.
| Segmente y etiquete órganos y huesos en imágenes médicas integrando el paquete de soporte Medical Imaging Toolbox Interface for MONAI Label Library a la app Medical Image Labeler. |
“Con Medical Imaging Toolbox, podemos cargar todo el conjunto de datos y crear la representación tridimensional con unos pocos clics. Esta funcionalidad y capacidad de exportar datos es importante. Significa que no comenzamos de cero con cada diseño nuevo sino que es un estándar que funciona bien. Nos ahorra semanas con cada nuevo diseño”.
Descubra nuestros productos.
Obtenga información sobre precios y explore productos relacionados.
Es posible que su centro educativo ya ofrezca acceso a MATLAB, Simulink y otros productos complementarios mediante una infraestructura Campus-Wide License.